Cómo adultos de alto desempeño que postergaron su salud bucal están recuperando función, estética y confianza con el Método Integral CCO, para volver a comer y reír sin miedo
Cientos de pacientes lograron recuperar la función y estética de toda la boca cuando ya tenían múltiples problemas dentales (ausencias, puentes dañados, caries, desgaste o mala mordida), sin pasar por diferentes consultorios, con acompañamiento integral y resultados predecibles.
Este tratamiento está diseñado especialmente para:
✔ ️ Adultos de alto desempeño que postergaron su salud dental y hoy buscan una solución definitiva.
✔ ️Personas con alto nivel de conciencia que valoran su imagen y salud bucal, y entienden que necesitan una solución integral compleja.
✔ ️ Pacientes que desean recuperar su sonrisa y confianza trabajando con una profesional acorde a sus necesidades.
✔ ️ Personas ocupadas que valoran más el tiempo que el dinero.
✔ ️ Para quienes lideran equipos, proyectos o familias, pero hoy deciden liderar también su bienestar
No es para:
✖ Pacientes que buscan soluciones parciales o económicas sin priorizar la calidad.
✖ Aquellos que no valoran la planificación y el enfoque integral de un tratamiento que resolverá sus problemas de salud bucal para siempre.
✖ Personas que buscan solo “arreglar un diente suelto” o “hacer algo rápido”.
✖Pacientes que buscan el precio más bajo.
✖ Quienes no estén listos para comprometerse con un proceso completo.
Volvé a sonreír, comer y hablar con comodidad.
Con el Método Integral C.C.O., recuperás la salud, función y estética de tu boca con un enfoque humano y multidisciplinario, sin derivaciones ni dolor
Método Integral CCO
El Método Integral CCO resuelve cada caso con una mirada global: Diagnóstico, planificación funcional-estética, ejecución multidisciplinaria, control y seguimiento. Todo dentro de la misma clínica, en un marco de contención, acompañamiento y apoyo emocional.
De:
Falta de piezas dentales, dificultad para comer, miedo a sonreír, inseguridad y fracasos en tratamientos previos…
A:
Sonrisa estética y funcional, confianza, rejuvenecimiento facial y seguridad en cada aspecto de su vida.
BENEFICIOS
- Salud bucal restaurada de por vida
- Sonrisa armónica y rejuvenecida
- Seguridad y confianza en cada conversación y reunión social
- Recuperás tu función masticatoria y estética facial
- Todo el tratamiento se realiza en la misma clínica, sin derivaciones
- Acompañamiento emocional durante todo el proceso
- Resultados naturales, predecibles y duraderos
Tipo de Anestesia
Local. No hay ningún tipo de dolor.
Duración
50 minutos
Tipo de procedimiento
Ambulatorio
Recuperación
Inmediata
SOBRE NOSOTROS
Somos una clínica con un enfoque integral y humano, donde siempre priorizamos la salud e individualidad del paciente, manteniéndonos actualizados y con una constante inversión en tecnología y formación multidisciplinaria.
Desde el comienzo de mi carrera, siempre soñé con una clínica multidisciplinaria , con un equipo conformado con profesionales alineados en valores, no solo técnicos sino humanos, un equipo enfocado en las opciones ideales para cada paciente en cada momento.
Ofrecemos una atención muy personalizada, donde el vinculo con el paciente es muy cercano, adaptándonos a sus expectativas y necesidades, en un ambiente sumamente familiar, ameno y distendido, donde siempre buscamos darle contención y un enfoque de salud que excede lo meramente bucal
Ayudamos a adultos de alto desempeño que postergaron su salud bucal a recuperar función, estética y confianza con nuestro Método Integral CCO para volver a comer y reír sin miedo.
Método Integral CCO🦷
Un sistema que integra todas las especialidades odontológicas dentro de un mismo proceso, con diagnóstico, planificación y ejecución integral.
Desde la primera consulta hasta la transofrmación total, la Dra Spiess y su equipo estarán contigo en cada momento.
PASOS QUE VAMOS A RECORRER JUNTOS
Evaluación Integral Personalizada
Diagnóstico clínico, radiográfico y fotográfico / Evaluación funcional y estética / Presentación del plan completo con cronograma.
Planificación personalizada de sonrisa
Definición de secuencia de tratamientos (implantes, endodoncia, ortodoncia, coronas, etc.) / Enfoque multidisciplinario interno.
Rehabilitación completa funcional y estética
Ejecución total del tratamiento sin derivaciones. / Planificación y coordinación directa a cargo de la Dra. Spiess
Seguimiento y mantenimiento post-tratamiento
Controles, ajuste de mordida y chequeos periódicos / Acompañamiento emocional y motivacional.
¿Qué incluye el Método Integral CCO?
En esta consulta evaluamos tu caso para tener un diagnóstico exacto.
Diseñamos el plan exacto a tu medida para tu caso.
Realizamos el tratamiento integral con todas la especialidades dentro de la misma clínica, sin derivaciones.
Te acompañamos en todo momento
Nos aseguramos que el resultado sea el que acordamos y te dure por muchos años.
EL RESULTADO QUE VAS A LOGRAR
Recuperar la función completa y volver a comer con confianza
Una sonrisa estética, natural y armónica que te hace ver más jóven y seguro
Sentirte renovado, seguro y emocionalmente pleno
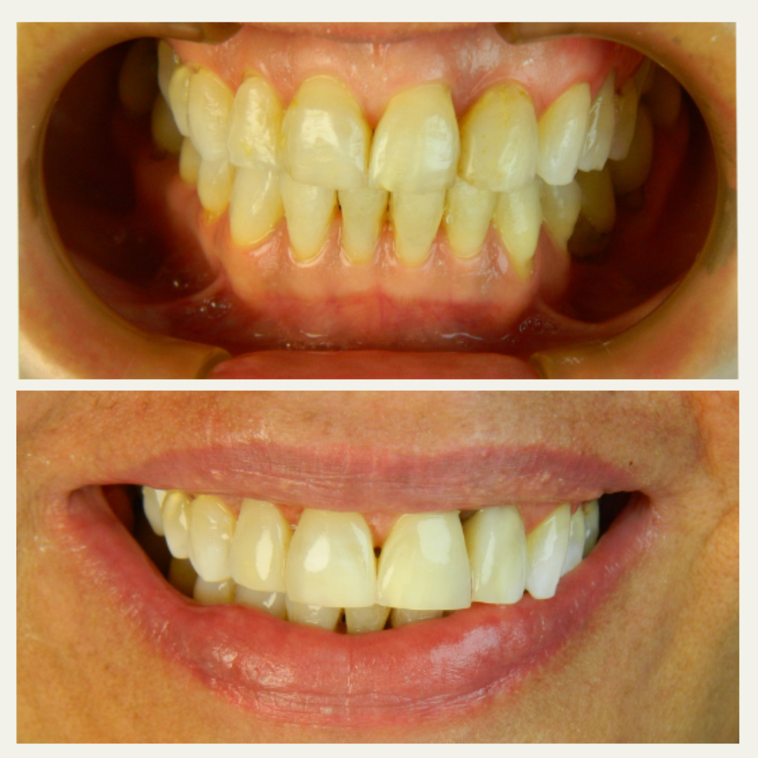
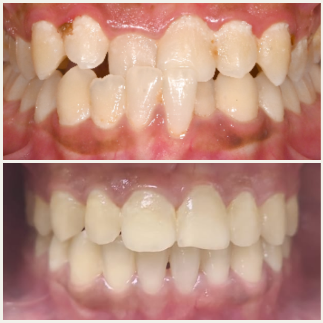
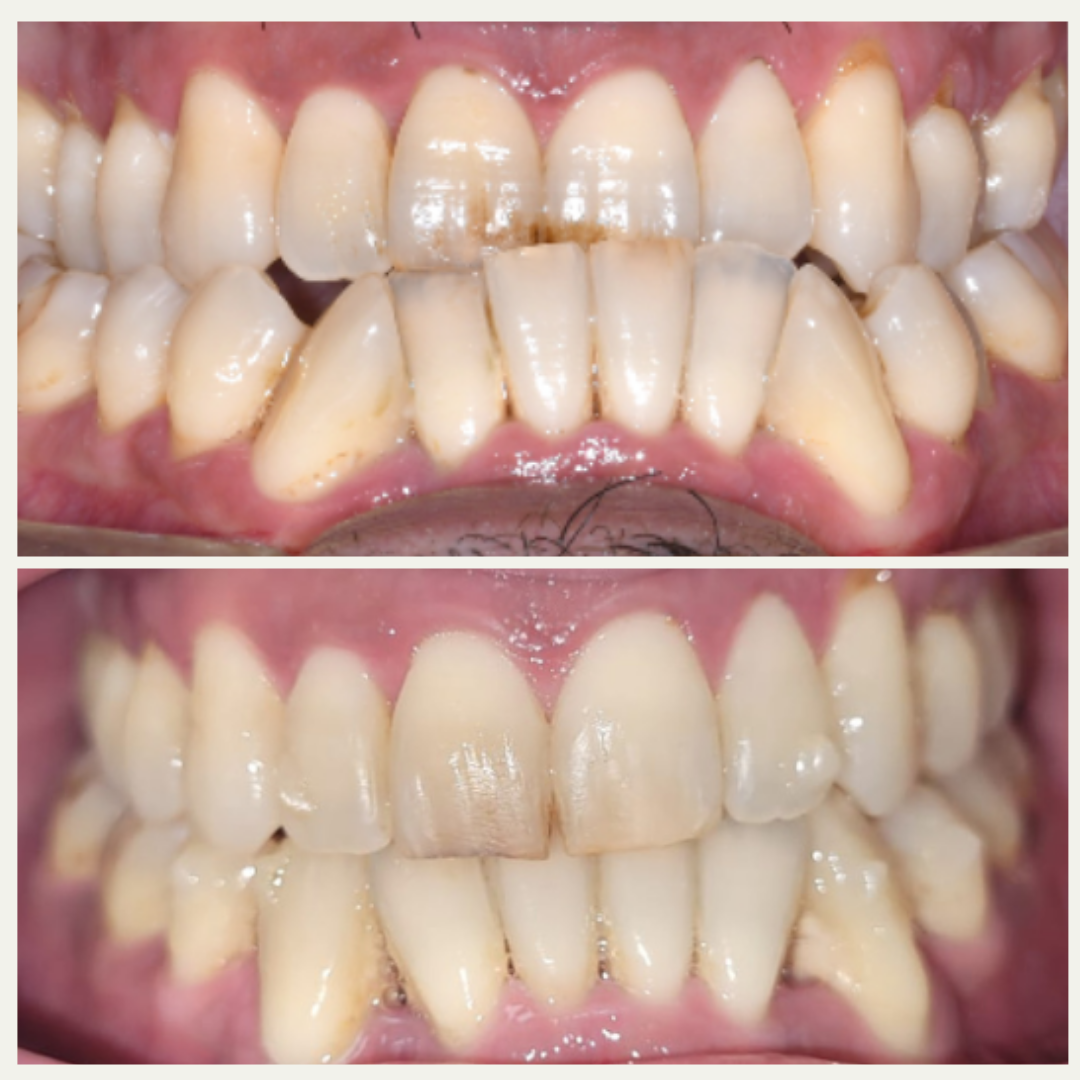
CASOS DE ÉXITO
Estas personas pasaban por la misma situación que tu y hoy pueden disfrutar de una nueva vida



CONSULTA PRESENCIAL
Para reservar tu lugar toca el botón.
En esta primer consulta te asesoraré y te explicaré el paso a paso para resolver tu problema y cumplir tus deseos.
CONSULTA VIRTUAL
Si quieres contar con más flexibilidad para la primera cita, elige la opción de CITA VIRTUAL.
⚠️
CUPOS LIMITADOS
Debido a la personalización y compromiso con cada uno de nuestros pacientes, solo abrimos 5 nuevos cupos al mes para este tratamiento integral y exclusivo.
¡Agendando tu turno desde esta página, te bonificamos el 100% de la consulta inicial!
(en caso de avanzar con el tratamiento, será descontado del total del procedimiento).
Agendando tu cita AHORA
Además de bonificarte la consulta inicial, recibís:
Bonus 1: Simulación digital gratuita para visualizar el resultado final antes de iniciar.
Bonus 2: Acceso a una placa de relajación post-tratamiento para cuidar la rehabilitación.
SOLO LOS PRIMEROS 5 PACIENTES DEL MES
GARANTÍA
🔒 Compromiso total con tu transformación
Si el plan propuesto no es viable o no cumple con las condiciones necesarias para tu caso, te devolvemos la evaluación inicial sin costo.
Dra. Spiess, comprometida con la excelencia en odontología estética-funcional para ofrecer resultados duraderos, sin molestias y rápida recuperación, respaldados por la satisfacción y testimonios de nuestros pacientes.
Tu sonrisa puede volver a ser natural, funcional y hermosa.
Toca el botón y reserva tu evaluación ahora para comenzar tu transformación sin margen de error
PREGUNTAS FRECUENTES
No. Todos los procedimientos se realizan con anestesia local y tecnología avanzada que minimiza las molestias.
Depende del caso, pero el plan personalizado te indicará la duración estimada antes de comenzar.
Sí. Contamos con planes flexibles y opciones adaptadas a cada paciente.
No. Todo se realiza dentro de Clínica Carrasco con un equipo multidisciplinario coordinado por la Dra. Spiess
Sí. El tratamiento está diseñado para lograr una rehabilitación funcional y estética a largo plazo.
- 26051896
- 091097659
- info@clinicacarrasco.com.uy
- AVDA. BOLIVIA 2077. Montenvideo
- Realiza tu consulta para eliminar tus dudas o para solicitar un turno. No se envía información de precio o presupuesto. Esta información se otorga luego de la consulta.
Clínica Carrasco. 2025. Todos los Derechos Reservados.