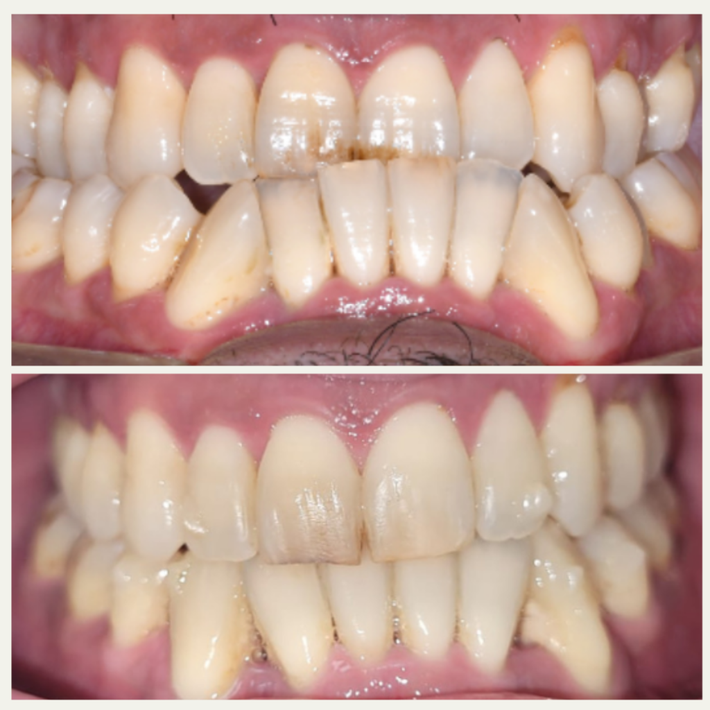
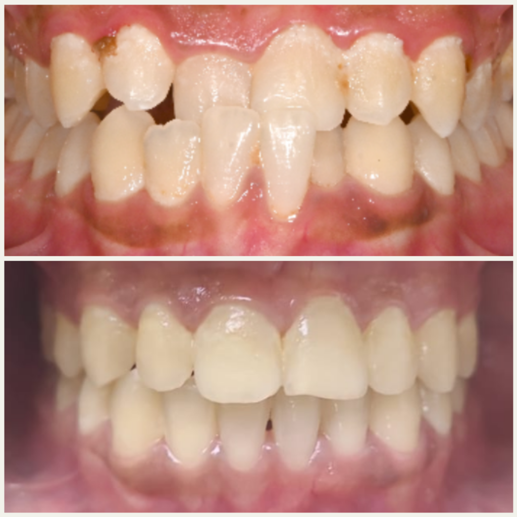
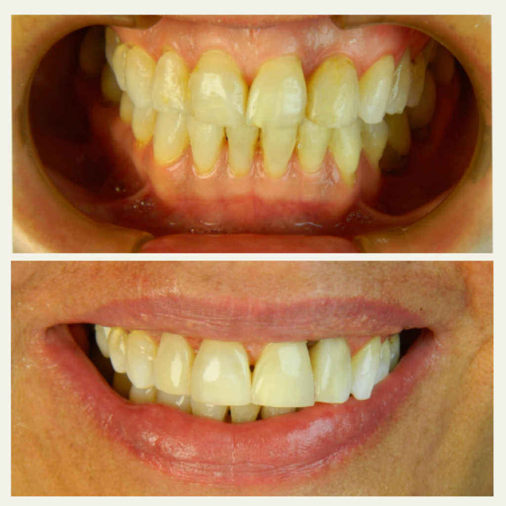
Para poder conocerte, entender cuáles son tus preocupaciones y de qué manera podemos ayudarte, es necesario realizar un diagnóstico.
En esta sesión te explicaremos el paso a paso para resolver tu problema y cumplir tu deseo.
Para concretar tu cita, elige la fecha y la hora en este calendario y te contactamos inmediatamente.
ES NECESARIO CONFIRMAR ASISTENCIA A LA CITA ANTES DE LA FECHA.
Te llegará un mensaje para que puedas confirmar la reserva, en caso de no hacerlo, la cita se cancelará automáticamente.
© Clínica Carrasco 2025 | Todos los derechos reservados.
WhatsApp